Support

Lorem ipsum dolor sit amet:

24h / 365days

We offer support for our customers

Mon - Fri 8:00am - 5:00pm (GMT +1)

Get in touch

Cybersteel Inc.
376-293 City Road, Suite 600
San Francisco, CA 94102

Have any questions?
+44 1234 567 890

Drop us a line
info@yourdomain.com

About us

Lorem ipsum dolor sit amet, consectetuer adipiscing elit.

Aenean commodo ligula eget dolor. Aenean massa. Cum sociis natoque penatibus et magnis dis parturient montes, nascetur ridiculus mus. Donec quam felis, ultricies nec.

Breites know-how
in der Schulter-Chirurgie

Schmerzen an der Schulter haben verschiedenste Ursachen. Nach exakter Diagnostik mittels kernspintomografischer Darstellung mit Kontrastmittelgabe können unsere Spezialisten rund um Dr. Fredrich, Dr. Hanak und Dr. Sahin viele Symptome durch gezielte Operationen erfolgreich beseitigen.

  • Rotatorenmanschettennaht
  • Stabilisierungsoperationen am Gelenk
  • Arthrose-Chirurgie am Schultergelenk
  • künstliches Schultergelenk
  • Arthroskopische Stabilisierungen von Schultereckgelenkausrenkungen
Anatomie

Das eigentliche Schultergelenk besteht aus 2 knöchernen Partnern, dem Oberarmkopf und der Gelenkpfanne, welche ein Teil des Schulterblattes ist. Dank der sehr flachen und eher kleinen Pfanne und wesentlich grösserem Kopf ermöglich die knöcherne Zusammensetzung des Gelenkes ein sehr grosses Bewegungsausmaß desselben.
Zusätzlich trägt zu der enormen Beweglichkeit des Armes im Bereich des Schultergürtels die weichteilige Verbindung bzw. Gleiten zwischen dem Schulterblatt und der Brustwand (Rippen) bei.
Sowohl der Oberarmkopf als auch die Gelenkpfanne sind im Bereich der Gelenkfläche mit einem hyalinen Gelenkknorpel überzogen.
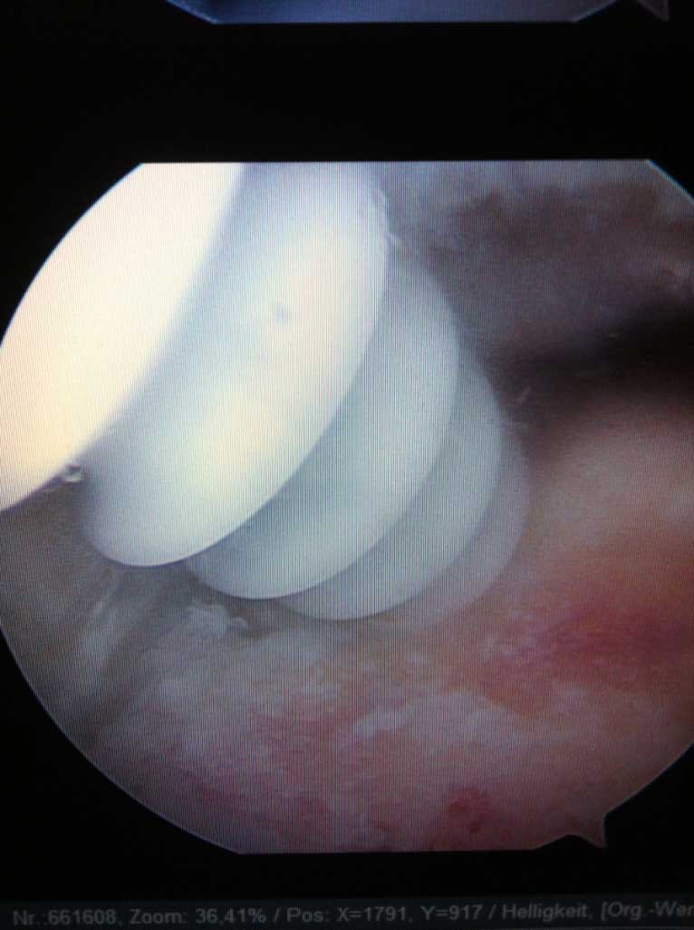
Wie auf der Bilddokumentation ersichtlich, wird die Kontaktfläche zwischen der kleinen knöchernen Pfanne und dem Kopf durch einen knorpeligen Ring, s.g. Labrum, der sich am Pfannenrand befindet, vergrössert.
Ähnlich wie in anderen Gelenken, sorgen auch in der Schulter die s.g. passiven und aktiven Stabilisatoren für das Zusammenhalten der zwei o.g. knöchernen Gelenkpartnern ( Kopf und Pfanne ).
Die passiven sind die Gelenkkapsel und Bänder. Diese ermöglichen dank enormer Dehnbarkeit ein sehr grosses Bewegungsausmaß der Schulter.
Die aktiven Stabilisatoren sind die gelenkübergreifenden Sehnen, welche in Form d.s.g. Rotatorenmanschette, seitlich am Oberarmkopf ansetzen. Deren Aufgabe ist sowohl den OA Kopf in der flachen Pfanne zu zentrieren als auch mit dem Arm in der Schulter zu bewegen.

Funktionell gehört aber auch das Schultereckgelenk (ACG) sehr eng mit dem Schultergelenk zusammen. Dieses eher kleine Gelenk befindet sich sehr hautnah zwischen dem äußeren Ende des Schlüsselbeines und dem Schulterdach.

Sehnenriss

Zum Sehnenriss im Bereich der Schulter kann sowohl Unfall als auch Verschleißbedingt kommen. Kleine Risse verursachen eher Schmerzen im B. der Schulter und des Oberarmes, die grossen sind neben Schmerzen auch mit wesentlicher Kraftminderung und Beeinträchtigung der aktiven Armbeweglichkeit in der Schulter vergesellschaftet.
Ein Sehnenriss stellt nicht immer eine OP Indikation dar. Es müssen viele Faktoren durch einen Schulterspezialisten gemeinsam mit dem Patienten erwögen werden.
Wird die Indikation zur Sehnennaht / Rekonstruktion der gerissenen Sehnen gestellt, so wird die Operation in unseren Händen ausschließlich arthroskopisch (Schlüsselloch Operation) durch 3 - 6 kleinen Stichinzisionen (3-4mm) durchgeführt. Dieses operative Verfahren ist maximal zu den schulterumgebenden  Weichteilen schonend.
Unsere Patienten können wir sowohl ambulant in unserer OCD Klinik als auch unter stationären Bedingungen im Krankenhaus operieren.
Für ein optimales Operationsergebnis ist die anschließende krankengymnastische Behandlung zusammen mit dem s.g. Schulterstuhl (Bewegungsschiene), den unsere Patienten leihweise für einige Wochen nach Operation nach Hause erhalten, von grosser Bedeutung. Diese beiden Bestandteile der Nachbehandlung werden ausschliesslich durch uns, Ihre Operateure, für Sie, verordnet.
Fakultativ kann ab der 7. postoperativen Woche eine AHB (Anschlussheilbehandlung) entweder ambulant oder stationär erfolgen.
Die Heilungsphase mit relevanten Restbeschwerden, bzw. das Wiedererlangen der vollen Einsatzfähigkeit der Schulter nimmt im Durchschnitt 2-3 Monate in Anspruch.

Schulterinstabilität

Eine Unfall- oder Anlagebedingte (oder kombinierte) Instabilität der Schulter führt zum Auskugeln (luxieren) des Oberarmkopfes aus der kleinen flachen Gelenkpfanne.
Je nach Alter, Verletzungsmuster, Anzahl der Luxationsereingnisse und weiteren Faktoren, wird eine schulterstabilisierende Operation indiziert und empfohlen. Diese führen wir ebenfalls ausschliesslich arthroskopisch
(Schüsselloch Operation) durch. Innerhalb von 15 - 30 min wird dabei der knorpelige Ring (s.g. Labrum) auf den knöchernen Pfannenrand mit speziellen Anker und Fäden wieder zurück befestigt.
Die Nachbehandlung richtet sich nach Schwergrad der operativ versorgten Verletzungen, beträgt allerdings in d.R. nicht länger als 8-10 Wochen, inkl. Rückkehr zu Kontaktsportarten binnen 12 Wochen nach Operation.

Verletzung des Schultereckgelenkes

Die s.g. ACG Luxation (Acromioclavikulares Gelenk) stellt ein akute oder chronische unfallbedingte Instabilität des Schultereckgelenkes dar.
Am häufigsten entstehen diese Verletzungen durch Sturz auf den ausgestreckten Arm oder direkt seitlich auf die Schulter.
Abhängig vom Ausmass der Instabilität wird über Art der Therapie entschieden.
Die operationsbedürftigen Verletzungen versorgen wir mit kleinen Implantaten arthroskopisch. Im Gegensatz zu Versorgung mit Platten oder Drähte ist bei unserem arthroskopischen Verfahren eine spätere Metallentfernung (2. Eingriff) nicht notwendig.
Innerhalb der ersten 3-5 postoperativen Tage ist die operierte Schulter bei der einfachen Alltagsaktivitäten wieder einsatzbereit.

Kalkschulter

Die s.g. Tendinitis calcarea ("Kalkschulter") ist sehr häufige Ursache von akuten aber auch chronischen, manchmal ausgeprägten Schulterschmerzen.
Lässt sich die Schmerzsymptomatik durch konservative entzündungshämmende Therapie nicht lindern, so wird eine arthroskopische Kalkdepotausräumung empfohlen. Dabei, innerhalb 20-30 min wird das Kalkdepot aus der Schultersehne durch 3-5 kleinen Stichinzisionen entfernt und die Sehne anschliessend genäht. Die Nachbehandlung beträgt zirka 8-10 Wochen mit Krankengymnastik und ggf. anschließender Reha Maßnahme.

Über uns

Die Maximilium-Orthopädie steht für überregionale Kompetenz bei orthopädischen Fragen in Schulter, Knie, Rücken, Ellenbogen und Fuß. Wir bieten medizinische Behandlungen und Therapien auf höchstem Niveau.

Kontakt

Maximilium-Orthopädie
Kapellstraße 42

86609 Donauwörth

(09 06) 29 99 0-610

(09 06) 29 99 0-612

Beste Empfehlungen

Copyright 2026. All Rights Reserved.
Einstellungen gespeichert
Datenschutzeinstellungen

Lorem ipsum dolor sit amet, consectetuer adipiscing elit. Aenean commodo ligula eget dolor. Aenean massa. Cum sociis natoque penatibus et magnis dis parturient montes.

Dies sind Blindinhalte in jeglicher Hinsicht. Bitte ersetzen Sie diese Inhalte durch Ihre eigenen Inhalte. Lorem ipsum dolor sit amet, consectetuer adipiscing elit. Aenean commodo.

user_privacy_settings

Domainname: Domain hier eintragen
Ablauf: 30 Tage
Speicherort: Localstorage
Beschreibung: Speichert die Privacy Level Einstellungen aus dem Cookie Consent Tool "Privacy Manager".

user_privacy_settings_expires

Domainname: Domain hier eintragen
Ablauf: 30 Tage
Speicherort: Localstorage
Beschreibung: Speichert die Speicherdauer der Privacy Level Einstellungen aus dem Cookie Consent Tool "Privacy Manager".

ce_popup_isClosed

Domainname: Domain hier eintragen
Ablauf: 30 Tage
Speicherort: Localstorage
Beschreibung: Speichert, dass das Popup (Inhaltselement - Popup) durch einen Klick des Benutzers geschlossen wurde.

onepage_animate

Domainname: Domain hier eintragen
Ablauf: 30 Tage
Speicherort: Localstorage
Beschreibung: Speichert, dass der Scrollscript für die Onepage Navigation gestartet wurde.

onepage_position

Domainname: Domain hier eintragen
Ablauf: 30 Tage
Speicherort: Localstorage
Beschreibung: Speichert die Offset-Position für die Onepage Navigation.

onepage_active

Domainname: Domain hier eintragen
Ablauf: 30 Tage
Speicherort: Localstorage
Beschreibung: Speichert, dass die aktuelle Seite eine "Onepage" Seite ist.

view_isGrid

Domainname: Domain hier eintragen
Ablauf: 30 Tage
Speicherort: Localstorage
Beschreibung: Speichert die gewählte Listen/Grid Ansicht in der Demo CarDealer / CustomCatalog List.

portfolio_MODULE_ID

Domainname: Domain hier eintragen
Ablauf: 30 Tage
Speicherort: Localstorage
Beschreibung: Speichert den gewählten Filter des Portfoliofilters.

Eclipse.outdated-browser: "confirmed"

Domainname: Domain hier eintragen
Ablauf: 30 Tage
Speicherort: Localstorage
Beschreibung: Speichert den Zustand der Hinweisleiste "Outdated Browser".
You are using an outdated browser. The website may not be displayed correctly. Close